
MUC5AC基因定位于 11 号染色体短臂 15.5 位点,是一种具有黏膜保护作用的分泌型糖蛋白,可参与细胞生长分化、细胞间信号转导、细胞间黏附等过程,对黏膜上皮起保护和润滑作用。近年来大量研究显示,MUC5AC在胃癌、结直肠癌、肺癌及胆囊病变等疾病中表达异常,并参与肿瘤的发生、发展过程,和预后预测密切相关。
胃癌的发生、发展过程中化生上皮取代了天然黏膜。MUC5AC做为重要的胃型分泌型黏蛋白之一,是黏膜上皮定植的第一道保护屏障--黏液的主要成分,在这一过程中会出现表达强度下调的现象。
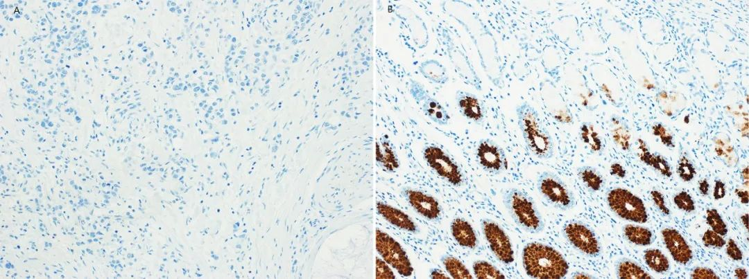
Jie Yang的研究从CEO数据库下载了1140名胃癌患者的MUC5AC表达数据和生存信息,分析显示,MUC5AC在胃组织中的表达随肠化生的发展而降低,并与胃癌的分期有关,晚期胃癌组织中MUC5AC表达水平显著低于早期组织,并与凋亡途径相关,提示MUC5AC表达下调参与了胃癌的发生与发展,可作为胃癌预后的新生物标志物。张月凡等人对78例胃癌组织和正常癌旁组织进行IHC研究,发现MUC5AC在胃癌组织中的阳性表达率(48.72,38 /78)显著低于癌旁正常组织(92.31%,72 /78)主要定位于细胞质,呈黄色或棕黄色颗粒( 图1,A、B)。MUC5AC 阴性表达者生存时间显著低于阳性表达者( 图2),表明MUC5AC是胃癌预后预测的独立因子,MUC5AC 的高表达预示胃癌分化程度较好,可能有较好预后。
图1. A: MUC5AC在胃癌中的阴性表达;B:MUC5AC在癌旁正常组织表达

图2. MUC5AC在胃癌中的表达患者的生存曲线
分泌黏液的能力是结直肠癌的重要标志之一,因此,粘蛋白的异常表达及其糖基化的改变与结直肠癌的发生、发展关系密切。
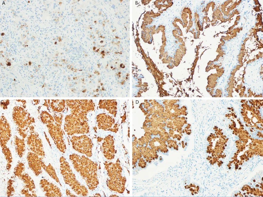
MUC5AC通常表达于胃和气管、支气管内层,正常肠组织中不表达。Meriam HAZGUI等人对突尼斯地区的202例结直肠癌病例进行IHC研究,发现MUC5ACA的表达与结直肠癌的分期分级、淋巴结转移等临床病理学标准无显著相关性,但阳性患者的总生存率高于阴性患者,提示MUC5AC 的存在可能是结直肠癌的良好预后因素和治疗结肠癌的新希望靶点。Hector Mesa等人收集了1999-2017年间阑尾和左右结直肠肿瘤的切除标本,IHC研究表明,MUC5AC在低级别阑尾黏液性肿瘤和高级别黏液性腺癌中的表达高于常规结肠腺癌和隐窝细胞腺癌,和常规结肠腺癌相比,MUC5AC的表达在高级别黏液性腺癌中更为强烈,同时,该研究发现MUC5AC的表达与MMR缺陷存在显著相关,这支持了 MUC5AC 表达在通过锯齿状通路产生的肿瘤(即具有 BRAF 突变和表观遗传 MMR 缺陷的黏液性肿瘤)中更高的系列报道。该分子组对辅助治疗的总体优越反应解释了结直肠癌表达MUC5AC 的有利结果。表明MUC5AC在结直肠癌中的表达是良好预后和治疗靶点的潜在标志物。吴强等人对42例周围型非小细胞肺癌进行IHC研究,发现MUC5AC与肿瘤的淋巴转移呈正相关(p<0.05),并与肺肿瘤的大小、分叶征、毛刺征、血管集束征、胸膜侵犯呈明显明显正相关,表明MUC5AC在肺癌的侵袭和转移过程中发挥着重要作用。Yujie Dong等人对90名伴黏蛋白产生的肺腺癌(LAMP)患者样本进行IHC研究,发现LAMP不同亚型中MUC5AC的染色模式不同:在以腺泡为主的腺癌(APA)和以乳头状为主的腺癌(PPA)中沿肿瘤细胞的顶端表面呈阳性染色,类似大汗腺模式;在微乳头状为主的腺癌(MPA)和实性为主的腺癌(SPA)中呈点状分布和局灶性染色;在浸润性黏液腺癌(IMA)和杯状柱状细胞的胶体腺癌中呈弥漫而密集的染色(图3为APA、PPA、SPA、IMA中的MUC5AC染色图)。表明LAMP具有较强的异质性,MUC5AC是区分纯黏液腺癌(包括IMA和胶体腺癌等)和非纯黏液腺癌(包括APA、PPA、SPA、MPA等)的有效标志物。
图3. MUC5AC在LAMP不同亚型中的染色图 (A:MUC5AC在腺泡为主的腺癌中表达;B:PPA中MUC5AC的表达;C:SPA中MUC5AC的表达;D:IMA 中MUC5AC的表达)此外,在支气管上皮细胞的多阶段癌变过程中,MUC5AC和粘蛋白成分的数量增加。MUC5AC 的表达在IMA (P < 0.001) 以及具有 KRAS 突变 (P = 0.005) 和缺乏TTF-1 表达 (P < 0.001) 的肿瘤中更为显着。与纯黏液亚型相比,非纯黏液亚型中 MUC5AC 阳性表达者更具侵袭性。与 MUC5AC 阴性肿瘤相比,MUC5AC 阳性肿瘤与较差的预后呈正相关(图4, P < 0.001)。多变量生存分析表明,MUC5AC 是预后不良的独立预后因素(图4,P = 0.006),并可能是这种几乎没有有效治疗方法的独特类型肺腺癌的潜在治疗靶点。
图4. LAMP患者Kaplan-Meier 生存曲线(A:MUC5AC表达状态的无病生存曲线;B:病理亚型和MUC5AC表达状态的无病生存曲线)Amit Bhoge等人历时6年对629例胆囊病变患者组织(其中605例非肿瘤性病变,24例肿瘤性病变)进行IHC研究MUC5AC在非肿瘤性病变中的表达率(85.12%,515例)显著高于肿瘤性病变(37.5%,9例),并且胆囊癌中MUC5AC的表达(28.57%,6/21)明显低于慢性胆囊炎(87.19%,463/531),随着疾病的严重程度从增生进展到原位癌,MUC5AC表达病例的百分比呈逐渐下降趋势,表明MUC5AC的表达的下调与胆囊肿瘤的发生机制密切相关。Li Xiong等人的研究纳入108例胆囊腺癌、46例瘤周组织、15例腺瘤性息肉和35例慢性胆囊炎进行IHC研究,发现胆囊腺癌中MUC5AC表达的阳性率(51.9%)显著低于瘤周组织(82.6%)、腺瘤性息肉(80%)和慢性胆囊炎(94.3 %)(χ2=12.83;4.22;20.25,P<0.01)。良性病灶中MUC5AC阴性病例均表现为胆囊上皮中度或重度发育不良,同时,肿块最大直径<2 cm的高分化腺癌MUC5AC阳性率显著高于肿块最大直径≥2 cm的低分化腺癌。变量 Kaplan-Meier 分析表明MUC5AC 表达减少(P = 0.017)与总生存期降低正相关,多变量 Cox 回归分析显示,MUC5AC 表达降低(P = 0.008)是胆囊腺癌的独立预后预测因子(图5)。
图5. 胆囊腺癌患者的MUC5AC表达与生存曲线(A: MUC5AC表达与总生存期分析;B:MUC5AC和MUC1(也称EMA)表达与总生存期分析)
近年来,也有学者对MUC5AC在食管癌、腮腺癌、鼻咽癌、胰腺癌等肿瘤中的表达进行了研究,认为MUC5AC的阴性表达是影响食管癌患者预后的危险因素;MUC5AC的阳性表达可能与腮腺癌的良好预后相关,与鼻咽癌较差的预后相关;MUC5AC在胰腺癌中的表达与预后的关系尚存在争议,还需进一步深入的研究。综上所述,MUC5AC在胃癌、结直肠癌、肺癌及胆囊病变中均有不同的异常表达,并与肿瘤的密切预后相关:MUC5AC在胃癌中表达的下调参与了胃癌的发生与发展,是胃癌预后预测的独立因子,MUC5AC 的高表达预示胃癌分化程度较好,可能有较好预后。
MUC5AC在结直肠癌中的表达的表达是良好预后和治疗靶点的潜在标志物。
MUC5AC在肺非小细胞癌中的表达在侵袭和转移过程中发挥着重要作用,MUC5AC 的阳性表达是预后不良的独立因素,并可能是潜在的治疗靶点。
MUC5AC在胆囊病变中的表达的下调与胆囊肿瘤的发生机制密切相关,并且是胆囊腺癌独立预后预测因子:表达的下调与总生存期降低正相关,预示着较差的预后。
抗体名称 | 产品编号 | 克隆号 | 细胞定位 |
MUC5AC | MAB-0079 | 45M1 | 胞质 |
参考文献
[1]Yang J . Identification of novel biomarkers, MUC5AC, MUC1, KRT7, GAPDH, CD44 for gastric cancer[J]. Medical Oncology, 2020, 37(5).
[2]张月凡, 张维婕, 胡家骏,等. MUC5AC和CDX-2在胃癌组织中的表达及其与临床病理特征及预后的相关性,2020,21(19):2282-2285.
[3]Hazgui M , Weslati M , Boughriba R , et al. MUC1 and MUC5AC implication in Tunisian colorectal cancer patients[J]. Turkish Journal of Medical Sciences, 2021 , 51: 309-318.
[4]Mesa H , Manivel J C , Larson W S , et al. Immunophenotypic Comparison of Neoplasms of the Appendix, Right Colon, and Left Colon in Search of a Site-Specific Phenotypic Signature[J]. International journal of surgical pathology, 2019,28(1): 20-30.
[5] Dong Y , Zhou L , Zhao D , et al. MUC5AC enhances tumor heterogeneity in lung adenocarcinoma with mucin production and is associated with poor prognosis[J]. Japanese Journal of Clinical Oncology, 2020,50(6):701–711.
[6]吴强, 张祥海. CD147,MUC5ac在周围型非小细胞肺癌中表达的临床意义及与CT征象的相关性研究[C]// 全国中西医结合治疗肝病临床经验学术研讨会. 世界中医药学会联合会;中医杂志社, 2017,19(4):549-551.
[7]A B hoge. Immunohistochemical Study of MUC1 and MUC5AC Expression in Gall Bladder Lesions[J]. Journal of Clinical & Diagnostic Research, 2017, 11(7):12-16.
[8]Li X , Yang Z , Yang L , et al. Expressive levels of MUC1 and MUC5AC and their clinicopathologic significances in the benign and malignant lesions of gallbladder.[J]. Journal of Surgical Oncology,
[9]宋振国, 张占东, 苏永林,等. MUC1和MUC5AC表达水平与食管癌预后的相关性[J]. 热带医学杂志, 2018, 18(7):902-906.
[10]蒋卫东, 李文慧, 於丽乔,等. MUC1和MUC5AC在腮腺癌中的表达及其临床意义[J]. 徐州医科大学学报, 2019, 39(3):6166-171.
更多信息,请详询:800-8581156 或 400-889-9853