INI-1 基因位于22q11.2,又名hSNF 5,SMARCB1及BAF47,是 SWI/SNF 复合物的核心亚基,在 ATP 依赖性染色质的重塑中起作用,从而调控基因表达,并与多种细胞功能相关,包括修复受损 DNA 和调控细胞生长。INI-1 蛋白被认为是一种肿瘤抑制因子,可以阻止细胞的快速增殖。INI-1 基因失活导致蛋白表达的缺失与多种恶性肿瘤相关,包括恶性横纹肌样瘤、上皮样肉瘤、上皮样恶性神经鞘瘤、肾髓质癌、肾脏和软组织恶性横纹肌样肿瘤、肌上皮癌、鼻腔鼻窦癌、甲状腺癌等。
INI-1 缺失性鼻腔鼻窦癌是新近报道的一种罕见高度恶性肿瘤,占所有原发性鼻腔鼻窦恶性上皮性肿瘤的 3%~6%,发病年龄跨度为19~ 89 岁,表现为基底细胞样,横纹肌样/浆细胞样,嗜酸性细胞和肉瘤样四种亚型。邵立伟等人的研究指出该肿瘤的预后较 INI-1 未缺失的鼻腔鼻窦癌差,应避免这类肿瘤的误诊, INI-1 的IHC检测有助于该肿瘤的准确诊断。王久阳等人的研究表明,INI-1 缺失性鼻腔鼻窦癌的IHC检测均存在 INI-1 阴性染色,Agaimy A等人的分子遗传学研究表明78%的 INI-1 缺失性鼻腔鼻窦癌存在 INI-1 基因的纯合或杂合缺失,而 INI-1 基因未缺失的病例,INI-1 蛋白表达缺失的原因可能包括表观遗传学机制、基因点突变及小片段基因缺失无法被检测等。
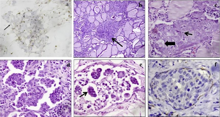
Shipra Agarwal等人的研究首次报道了原发性 INI-1 缺失性甲状腺癌,该肿瘤细胞的病理特征(如图1), IHC显示 INI-1 蛋白表达缺失(a)。此外,该研究对其他的6种甲状腺肿瘤进行了 INI-1 的IHC染色,均为弥漫性强阳性表达(如图2所示),表明 INI-1 的免疫表达是鉴别诊断 INI-1 缺失性甲状腺癌的有效手段。
图1. INI-1缺陷型甲状腺癌的组织病理学特征;a: INI-1的IHC染色缺失表达;b: 中等数量的嗜酸性细胞质,核仁小而突出。灶性腺体可见管腔形成; c: 多发性甲状腺内甲状腺肿; d-e: 甲状腺周围可见淋巴血管栓子,病灶内可见鞋钉型、淋巴细胞和中性粒细胞浸润,少数细胞有类似横纹肌样细胞的偏心核。f: CD31染色证实了甲状腺周围可见淋巴血管栓子。
图2. 非INI-1缺失型甲状腺肿瘤的INI-1弥漫性阳性染色;(A)滤泡性腺瘤、(B)滤泡性癌、(C)滤泡型甲状腺乳头状癌、(D)低分化甲状腺癌、(E)间变性甲状腺癌和(F)Hurthle细胞腺瘤。
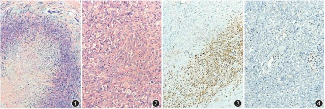
INI-1 的缺失或突变导致其双侧等位基因的失活, 是MRTs的重要的致瘤机制。INI-1 的IHC可对MRTs与具有横纹肌样形态的肿瘤进行鉴别:促结缔组织增生性小圆细胞肿瘤、横纹肌肉瘤、具有横纹肌样形态的不典型Wilms瘤的 INI-1 IHC染色均为阳性,而在 MRTs 中为阴性;在滑膜肉瘤中,INI-1 呈表达减弱,但不会出现完全丢失现象,因此 INI-1 蛋白表达缺失是 MRTs 诊断和鉴别诊断的重要依据。ES是具有上皮样细胞形态和免疫表型的恶性间叶肿瘤,形态多样,李莉等人对20例ES患者进行IHC研究,发现经典型ES和近端型ES的组织形态学有所不同(如图3,①-②所示)。病例中的 INl-1 失表达率为15/20,近端型及经典型ES无组间统计学差异,INl-1 蛋白表达方式呈全或无,没有局灶缺失的现象(如图3,③-④所示),但在很多与ES形态学交叉的肿瘤,如血管性肿瘤、低分化鳞癌、肉瘤样癌等肿瘤中仍保留表达,因此对ES的鉴别诊断非常有帮助。
图3. ES病理特征 ①:经典型ES,肿瘤细胞呈棱形,形成肉芽肿样结构,中心坏死、变性;②:近端型 ES,肿瘤细胞弥漫片状,细胞呈横纹肌样形态;③:经典型ES,INI-1染色,肿痛细胞核阴性,周围淋巴细胞,纤维细胞核阳性, EnVision 法 中倍放大 图4 近端型ES,INI-1染色,肿痛细胞核阴性,周围纤维细胞、血管内皮细胞核阳性, EnVision法中倍放大。
此外,Oda Y等人的研究表明,表明ES中 INl-1 失表达率为62.5%~93.0%,是其诊断不可或缺的指标。
上皮样恶性神经鞘瘤常为单一上皮样神经鞘细胞组成,常与神经相连,发生于神经纤维瘤或神经鞘瘤基础上。肿瘤内上皮样细胞呈巢状、结节状或条索状生长方式,由纤维间隔。肿瘤细胞形态一致,为圆形或多边形,核圆形空泡状,核仁明显,横纹肌样细胞可见。临床上需注意与恶性黑色素瘤的鉴别,Hornick J L等人的研究表明50%的上皮样恶性神经鞘瘤病例 INI-1 IHC染色为阴性,而恶性黑色素瘤及转移癌均为阳性,因此 INI-1 的IHC染色对疑难病例的鉴别诊断很有帮助。
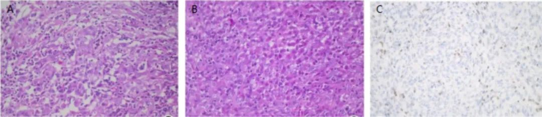
WHO(2016)中枢神经系统肿瘤分类将低分化脊索瘤列为一种新的肿瘤分类,好发于儿童,侵袭性强,预后差,具有较为独特的临床病理特征及免疫表型,细胞呈小叶状或实性片状分布,多数肿瘤( 79% )缺乏大的空泡状细胞,无细胞外黏液样或软骨样基质,96%的病例 INI-1 的IHC染色为细胞核表达缺失,与其他类型脊索瘤有明显差异,因此,INI-1 的缺失表达可作为低分化脊索瘤与经典型脊索瘤的鉴别诊断指标。
图4. 低分化脊索瘤病理特征 A-B:肿瘤细胞为片状分布,空泡状核,核仁明显,细胞异型性显著;C:肿瘤细胞 INI-1 表达缺失 EnVision 法 中倍放大。Antonelli 等人的研究表明,INI-1 的缺失表达与该肿瘤低分化的组织形态及不良的预后相关,是 INI-1 预后与靶向治疗的指标之一。
肾髓质样癌常伴有镰状细胞病或镰状红细胞特征,镜下筛状结构最常见,网状、卵黄囊状、实性、肉瘤样及 腺样囊性结构均可见。形态学与肾盂的尿路上皮癌、肾细胞癌相似,但肾盂的尿路上皮癌、肾细胞癌 INI-1 均为IHC染色阳性,而肾髓质样癌 INI-1 的IHC染色为阴性,因此 INI-1 的IHC染色可用于肾髓质样癌和肾盂的尿路上皮癌、肾细胞癌的鉴别诊断。
另有研究表明 INI-1 的失表达还发生在40%儿童软组织肌上皮癌、10%成人软组织肌上皮癌及少数胃肠道肿瘤和子宫内膜癌中,并可能与肿瘤的恶性及不良预后有关。此外,新型 EZH2 抑制剂作为靶向药物药物已进入 INI-1 缺陷型肿瘤的早期临床试验阶段,因此,对 INI-1 的IHC检测是靶向诊疗的关键指标。综上所述,INI-1 的缺失表达可在恶性横纹肌样瘤、上皮样肉瘤、上皮样恶性神经鞘瘤、肾髓质癌、肾脏和软组织恶性横纹肌样肿瘤、肌上皮癌、骨外黏液性软骨肉瘤、鼻腔鼻窦癌、甲状腺癌及少数胃肠道肿瘤、子宫内膜癌等肿瘤中出现,并有助于该类肿瘤的鉴别诊断,同时也是该类肿瘤靶向诊疗的关键指标之一。
抗体名称 | 产品编号 | 克隆号 | 细胞定位 |
INI-1 | MAB-0696 | MRQ-027 | 胞核 |
参考文献
[1] Hornick J L , Cin P D , Fletcher C . Loss of INI1 Expression is Characteristic of Both Conventional and Proximal-type Epithelioid Sarcoma[J]. American Journal of Surgical Pathology.
[2] Antonelli M , Raso A , Mascelli S , et al. SMARCB1/INI1 Involvement in Pediatric Chordoma: A Mutational and Immunohistochemical Analysis[J]. The American journal of surgical pathology, 2017, 41(1):56-61.
[3] Yeter H G , Kosemehmetoglu K , Soylemezoglu F . Poorly Differentiated Chordoma: Review of 53 Cases[J]. Apmis, 2019, 127(9).
[4] Agarwal S , Kakkar A , Damle N A , et al. SMARCB1 (INI1)-deficient thyroid carcinoma: A novel entity expanding the spectrum of tumors with INI1 loss[J]. Pathology - Research and Practice, 2020, 216(4):152830.
[5] 李莉, 周晓军. INI1缺陷性肿瘤的临床病理特征[J]. 中华病理学杂志, 2015(5):361-364.
[6] 王久阳, 白玉萍, 邢莉,等. SMARCB1(INI1)缺失型鼻腔鼻窦癌的临床病理特征[J]. 中华病理学杂志, 2021, 50(11):1240-1245.
[7] 李莉, 夏秋媛, 饶秋,等. 上皮样肉瘤免疫表型和INI1基因改变的研究.[J]. 中华病理学杂志, 2014(6):389-393.
[8] 陶璇, 陈林莺, 陈虹,等. 上皮样肉瘤的临床病理及免疫组织化学分析[J]. 福建医科大学学报, 2016, 50(2):98-102
[9] 冯佳燕, 陈莲, 马阳阳,等. INI1缺失的低分化脊索瘤临床病理学观察[J]. 中华病理学杂志, 2017, 46(10)
[10] 李丝冰, 张亚丽, 张贺,等. 子宫内膜去分化癌/未分化癌17例临床病理及预后分析[J]. 临床与实验病理学杂志, 2021, 37(2):208-213.
更多信息,请详询:800-8581156或400-889-9853