DOG1(Discovered on GIST-1)是2004年发现具有选择性表达的一种细胞膜表面蛋白,由DOG1基因编码的钙离子调节相关的氯离子同道蛋白,参与多种癌症的细胞增殖和肿瘤发生。多文献报道DOG1在GIST中的表达率>90%,是非常特异的GIST诊断指标,在GIST诊断、鉴别诊断及预后评估均有重要意义。因此,在多指南中均为一级推荐。中国胃肠间质瘤诊断治疗共识中给出的GIST诊断思路与标准[1]:组织形态表现符合GIST且免疫组化CD117、DOG1均弥漫阳性的病例则可以直接诊断为GIST。而DOG1在部分CD117、CD34阴性的GIST病例中可呈阳性表达,在整体的敏感性和特异性上等于或优于CD117,CD117联合DOG1检测可提高对GIST诊断的准确度。所以GIST诊断治疗共识中也强调CD117与DOG1联合检测,且每条诊断标准中免疫组化指标均包含DOG1。 然而,并非所有克隆号的DOG1抗体在GIST中都表现相同。2010年,Livia M[2]的研究即是如此,不同克隆号的DOG1单克隆抗体(DOG1.1和K9),它们在668例GIST中呈阳性的比例为80.5%和96.1%。此外,在25例CD117阴性GIST中DOG1.1和K9抗体呈阳性表达的比例分别是5例(20.0%)和19例(76.0%)。此研究提示DOG1抗体克隆号的选择重要性。小编同时看到俞训彬[3]老师2020年发表的3个不同克隆号(MX067、K9、SP31)DOG1抗体在GIST中的表现进行分析对比的文章。该研究旨在寻找特异性、敏感性、诊断价值更高的DOG1抗体。研究的结果表明:迈新克隆MX067的敏感性及特异性较SP31和K9更佳且无非特异性染色,具有更高的临床应用价值,小编从中摘录部分与各位老师分享。该研究采用组织芯片的方式制作蜡块,同时进行3个不同克隆号(MX067、K9、SP31)DOG1抗体免疫组化染色。一次性完成实验操作,同时设置阴性和阳性对照。结果判读以高倍镜下10个视野内细胞膜和/或细胞质染成棕黄色或棕褐色颗粒状的肿瘤细胞比例>5%判为阳性。研究结果显示,MX067、K9和SP31在GIST中的阳性检出率分别为90.14%(64/71)、88.73%(63/71)和88.73%(63/71)(图1,2)。SP31在神经鞘瘤组织中出现8.82%(3/34)的阳性反应,而MX067和K9均为阴性(图3,4)。MX067在皮肤、淋巴细胞无明显着色(图5,6)。3个克隆号的敏感性和特异性比较也显示MX067最佳,数据详见表2和图7。
图1:GIST DOG1 MX067抗体染色(+) 图2:GIST DOG1 K9抗体染色 (-) 图3:非GIST肿瘤(神经鞘瘤)DOG1 MX067抗体染色(-) 图4:非GIST肿瘤(神经鞘瘤)DOG1 SP31抗体染色(+) 图5:DOG1 MX067抗体染色结果背景低,淋巴细胞及皮肤无明显着色 图6:DOG1 SP31抗体染色结果背景高,可见淋巴细胞及皮肤着色。

目前多数病理科诊断GIST均依赖形态学结合免疫组化,如果DOG1抗体敏感性、特异性差,而组织形态学不典型,就容易造成误诊,特别是对于疑难病例。通过上图和表可见,部分GIST病例MX067染色结果为阳性而K9为阴性(图1,2),说明K9和SP31的敏感性不及MX067。SP31特异性低于MX067,所以部分非GIST病例MX067染色结果为阴性K9染色结果为阳性(图3,4)。MX067的敏感性及特异性较SP31和K9俱佳,同时本研究中还发现MX067在皮肤、淋巴细胞无明显着色,也充分体现了其特异性(图5,6)。而从R0C曲线下面积来看,MX067亦高于K9和SP31,因此MX067诊断GIST价值较其他二者高。总而言之,DOG1检测对于GIST患者具有极其重要的临床价值,克隆号的选择关乎诊断的准确度,敏感性强、特异性强、无背景染色的抗体才能够真正为GIST诊断提供帮助。

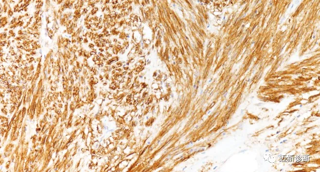
胃肠道间质瘤,DOG1(MX067)染色,细胞膜/细胞质阳性

胃肠道间质瘤,DOG1(MX067)染色,细胞膜/细胞质阳性
抗体名称 | 产品编号 | 克隆号 | 阳性部位 |
DOG1* | MAB-0851 | MX067 | 胞膜/胞质 |
*标为迈新克隆产品
参考文献:
[1]中国胃肠间质瘤诊断治疗共识2017年版[J].肿瘤综合治疗电子杂志,2018,4(1):31-43.
[2]Livia M. Bacchi,Matt van de Rijn,Robert B. West,Carlos E. Bacchi,Lisandro F. Lopes.DOG1 for the Diagnosis of Gastrointestinal Stromal Tumor(GIST): Comparison Betw-een 2 Different Antibodies[J].Applied immunohistochemis-try and molecular morphology: AIMM,2010,18(4):333-337.
[3]俞训彬;陈小岩;陈灵锋;.DOG1抗体新克隆MX067在胃肠间质瘤病理诊断应用中的初步评价[J].诊断病理学杂志,2020,03:154-157